Калейдоскоп
26 февраля 2007, 12:10 | Автор: Иван Рутов

Глотатели лезвий открыли экстремальные секреты

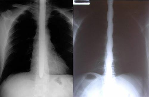
Без слов понятно, что глотание шпаг – рискованное дело. Но насколько рискованное? Нашлись люди, которые решили выяснить это поточнее - разобраться, к каким последствиям может привести такое хобби, или способ заработка…

Некоторые шпагоглотатели жалуются на боль в нижней части груди. Причём она длится у них несколько дней. Всё что нужно для лечения – воздержаться от глотания шпаг до полного выздоровления.16 из проанкетированных человек полагают, что они травмировали кишечник в результате своих «острых» занятий, а один даже уверен в том, что поцарапал себе лезвием сердце.

Глотатели лезвий открыли экстремальные секреты

Некоторые обращались за хирургической помощью. Причём их травмы были вызваны какими-то уж чересчур изощрёнными манипуляциями. Так, один глотатель серьёзно порезал глотку, пытаясь проглотить сильно изогнутую саблю. А другой травмировал пищевод – попугай, сидевший во время представления у шпагоглотателя на плече, вдруг начал как-то дурно себя вести, чем и предрёк трагический исход шоу.

Глотатели лезвий открыли экстремальные секреты

Ещё одна серьёзная травма случилась из-за того, что во время представления зритель попытался засунуть деньги за пояс трюкачке, которая с тремя проглоченными саблями исполняла танец живота ! Много ли было денег – не сообщается. Но известно, что в итоге лезвия неким образом сработали как ножницы, результатом чего стало сильное кровотечение…

Глотатели лезвий открыли экстремальные секреты

Что же касается прочих «отчётов» испытуемых, то исследователи полагают, что в целом внешние симптомы могут быть преувеличены, а внутренние преуменьшены — у многих наверняка есть и не выявленные внутренние повреждения.

Глотатели лезвий открыли экстремальные секреты

Заодно в исследовании уточняется, каким образом происходит обучение и, так сказать, профессиональное самосовершенствование шпагоглотателя. Учёные даже смогли вывести «среднестатистическую» формулу развития. Вкратце это выглядит так: первоочередная задача большинства шпагоглотателей – преодолеть рвотный рефлекс. Для этого они тренируются, пытаясь глотать разные предметы, постепенно используя всё более и более крупные. Как правило, начинают с пальцев, переходя к ложкам, потом к кистям для краски, далее – к вязальным спицам, ну а после – как говорит статистика – к проволочным вешалкам-плечикам для одежды.

Глотатели лезвий открыли экстремальные секреты
Следите за событиями дня в нашем паблик-аккаунте в Twitter
 
топ НОВОСТЕЙ
Все новости раздела
новости Калейдоскоп
Все новости раздела