Калейдоскоп
23 декабря 2010, 01:09 | Автор: Иван Рутов

Как перевозят наркотики внутри человека

Рентгеновские снимки «лошадок» - людей, перевозящих небольшие партии наркотиков внутри своего тела. Если контейнеры с наркотиками раскрываются - человек умирает.

100 пакетиков с кокаином в желудке.

Как перевозят наркотики внутри человека

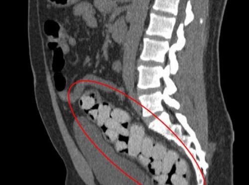
Наркотики в толстой кишке.

Как перевозят наркотики внутри человека

Кокаин под языком.

Как перевозят наркотики внутри человека
Следите за событиями дня в нашем паблик-аккаунте в Telegramm
 
топ НОВОСТЕЙ
Все новости раздела
новости Калейдоскоп
Все новости раздела