Калейдоскоп
26 февраля 2008, 09:21 | Автор: Иван Рутов

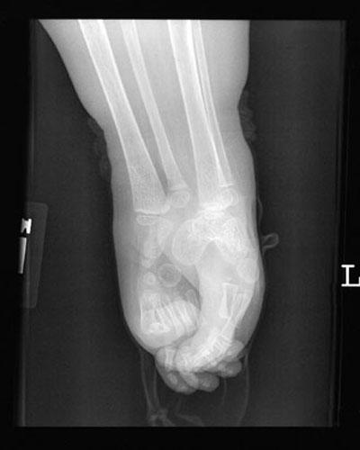
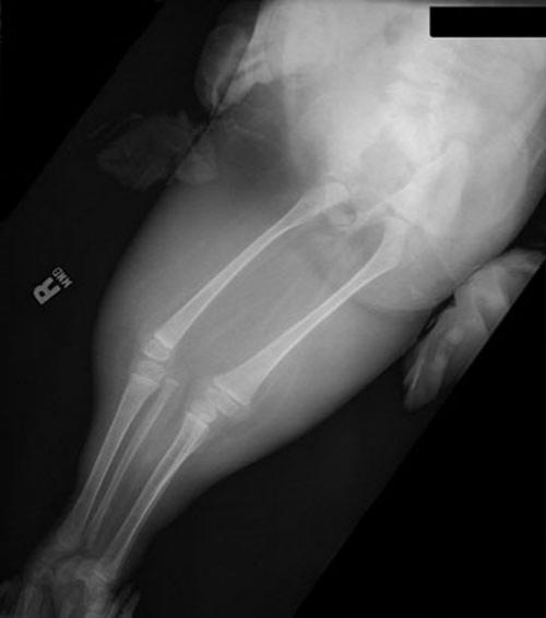
Девочка-русалка осталась с "хвостом"

Большинство детей с «сиреномелией» - редким врожденным пороком развития – так называемым «синдромом русалки» погибают в первые часы после появления на свет из-за многочисленных сопутствующих дефектов развития…В настоящее время в мире известны три случая спасения детей с подобным синдромом – это американка Тифани Йоркс, успешно перенесшая операцию по разделению ног 19 лет назад,трехлетняя перуанская девочка Милагрос Серрон, последняя операция по разделению ног которой была проведена летом этого года, и Шилох Пепин, единственная, кого так и не прооперировали…

Шилох Пепин (Shiloh Pepin) родилась в Кеннебункпорте (Kennebunkport) в штате Мэн в 1999…

Девочка-русалка осталась с "хвостом"

Кроме сросшихся ног у девочки при рождении не досчитались мочевого пузыря, матки, толстого кишечника, влагалища…У неё была лишь одна недоразвитая почка и один яичник…

Девочка-русалка осталась с "хвостом"

Родители были готовы к тому, что с такими дефектами их дочь проживёт не более нескольких месяцев…

Девочка-русалка осталась с "хвостом"

Но Шилох оказалась молодчиной — она дотянула до двух…

Девочка-русалка осталась с "хвостом"

А после пересадки почки в возрасте 2 лет от роду и вовсе адаптировалась к жизни…

Девочка-русалка осталась с "хвостом"
Вступайте в нашу группу в VK , чтобы быть в курсе событий в России и мире
 
топ НОВОСТЕЙ
Все новости раздела
новости Калейдоскоп
Все новости раздела