Калейдоскоп
Наука и технологии
24 февраля 2015, 14:04 | Автор: Иван Рутов

Топ-20 самых необычных экспериментов в истории

На протяжении последних 150 лет человечество сделало гигантский прыжок в развитии благодаря многочисленным опытам. С одной стороны, можно аплодировать выдающимся результатам научных экспериментов, а с другой, проводятся эксперименты, вызывающие неодобрение, так как результаты получены благодаря неэтичным и сомнительным методам.

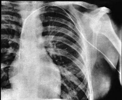
Пока медики спорили, он под анестезией ввел себе в вену на руке катетер длиной 60 см и вошел в сердечную мышцу. Затем ему сделали рентген, чтобы доказать, что катетер в сердце.

Топ-20 самых необычных экспериментов в истории

Главврач все равно был против, но со временем отношение к этому методу изменилось.

Топ-20 самых необычных экспериментов в истории

15. Живая собачья голова
В начале 20 века ученых и докторов интересовал вопрос, сколько времени может прожить голова после отсечения. В конце 20-х годов советский ученый Сергей Брюхоненко продемонстрировал подобный эксперимент, использовав отсеченную голову собаки, которую подключили к аппарату жизнеобеспечения.

Топ-20 самых необычных экспериментов в истории

Эксперимент был записан на видео. Голова реагировала на свет, вкус и звук. Доктору удалось покормить голову кусочком сыра, который немедленно был проглочен и выведен в специальную трубку.

Топ-20 самых необычных экспериментов в истории

14. Непристойное предложение
Что бы вы сделали, если бы симпатичный молодой человек или женщина подсел к вам и предложил с ним переспать? Вот этот вопрос исследовали в 1978 году в Государственном Университете Флориды. Рассел Кларк, университетский психолог, попросил студентов взять участие в эксперименте и выявить, какой пол больше позитивно отреагирует на предложение незнакомца.

Топ-20 самых необычных экспериментов в истории
Следите за событиями дня в нашем паблик-аккаунте в Telegramm
 
топ НОВОСТЕЙ
Все новости раздела
новости Калейдоскоп
Все новости раздела